
Dental Bridges
What Do Patients Save At Our Mexico Dental Clinic?
At our Los Algodones dental office, you can find a better experience just by crossing the border. When patients visit us for a dental bridge, they can save:
Money
Our dentists are affiliated with groups like the International Congress of Oral Implantologists and the American Dental Association, giving them many of the same qualifications as American dentists. Yet thanks to medical tourism their treatment is much more affordable, giving you excellent care at a more reasonable price.
Stress
Have you been worried about your teeth? This stress can feel overwhelming, especially if there are other factors keeping you from treatment, like cost or fear of pain. Our Los Algodones team addresses many of these concerns, allowing you to finally have peace of mind.
Pain
The longer you live with decayed or broken teeth, the more painful your situation can become. Our Los Algodones team can finally give you relief by treating your tooth. We also offer calming IV sedation, so that you can stay fully comfortable during your dental treatment.
Time
The sooner you act on dental problems, the easier and quicker they are to treat. Visiting our office can save you time in the chair, especially with same-day bridges. Not to mention, it can protect the health of your smile too.
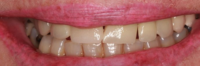
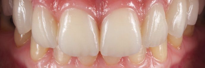
Our Lifelike Dental Bridges Blend in With Your Natural Teeth
Our dental practice uses advanced technology and high-quality materials to create dental bridges that are both natural-looking and long-lasting.
Technology
Our digital X-rays, CT (computerized tomography) scan system, and intraoral cameras can map out your entire smile in detail, from your teeth to your jawbone.
This advanced technology allows us to create a more comprehensive plan for your dental treatment.
Finally, our practice features a CAD/CAM milling system that can create convenient custom restorations like crowns and bridges as you wait.
Materials
Your pontics, crowns, and abutment teeth will blend in easily with your natural teeth, thanks to the realistic materials we use.
Our dentists use porcelain and durable and lifelike zirconia for dental work because of how well these materials mimic the translucency and shine of enamel.
We can even match these materials to the shade of your existing teeth, so that no one can tell you've visited our Mexico practice.
Understanding How We Perform Dental Bridge Treatment
Get to Know Us
Beautiful Dental Results Just Across the Border
"Dr. Valenzuela and his amazing team are the best of the best. Every staff member from the front to the back are friendly, caring, and polite. Dr.Valenzuela and his team have made the process of crossing the border to surgery effortless. It’s clear patient service & satisfaction are their #1 priority. They are kind and talented professionals who are experts at what they do! I highly recommend Dr.Valenzuela and his team to everyone! They are exceptional." Tiffany Zittle
Choose Between Two Types of Bridges At Our Mexico Dental Practice
Traditional Bridges
Dental bridges use a pontic, or fake tooth, to replace your tooth. To keep this false tooth in place, traditional bridges are supported on each side of the gap using lifelike dental crowns or abutment teeth. Depending on your needs, we may be able to make and place your bridge in just one visit, thanks to our CAD/CAM same-day milling system.
Implant-Supported Bridges
Dental implants are threaded posts that act like artificial tooth roots. They give support and stability to dental restorations. In the case of implant-supported bridges, the implants and abutment teeth will go on each side of the gap, with the pontic in the middle. We also provide same-day implant-supported bridges, which can save you from multiple visits.
Ready to learn more about your options? Contact our Los Algodones office or call
(928) 792-2156
Interested in Visiting Our Los Algodones Dental Clinic?
You don't have to come to Mexico just yet. We respect your time, which is why our team offers virtual consultations. You can talk to a doctor, give us a reference for your smile with photos, and learn about your dentistry options.
Implants Are a Lifelong Foundation For Your Dental Bridge
What Does an Implant-Supported Bridge Look Like?
Need Extra Care? Try Preparatory Treatments
/
If you need a tooth removed or you have an underlying condition like periodontal disease, we offer preparatory services to get you ready for treatment. You can visit us for extractions, periodontal treatment, sinus lifts, and more.
Dental Patients Are Glad They Visited Our Los Algodones, Mexico, Practice
Staff is Amazing! They always remember your name there and make you feel so welcome. Cleaner than any office i have been to in the states. So happy i found this place and wish i could have come sooner. Highly recommend to anyone.
View On Google
Very efficient staff providing courteous service.
They are teaching me how to smile again!







